10 minutes maximum! Can you do it in 5?

1-4:Blood can be separated into its different parts using a centrifuge, as shown here:


blood sperarated by centrifuge
KnuteKnudsen | CC 3.0

1. What is X?

  • A. plasma
  • B. white blood cells and platelets
  • C. white blood cells only
  • D. red blood cells
2. Which of these is not a function of X?
  • A. Transport carbon dioxide
  • B. Transport digested food substances e.g. glucose
  • C. Transport urea
  • D. Transport oxygen

3. In which layer would you find platelets? 

  • A. layer X
  • B. layer Y
  • C. layer Z
  • D. none of these
4. Platelets are used by the body to ..
  • A. transport oxygen    
  • B. fight disease using antibodies
  • C. clot the blood
  • D. transport carbon dioxide

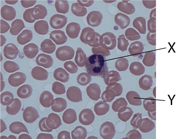
5-7: The image below shows some labelled blood cells:

blood cell image

Dr. Graham Beards | CC 3.0
5. Which of the following is not true about cell X?
  • A. Produce antibodies
  • B. Engulf bacteria
  • C. Possess a nucleus
  • D. There are only a few of them in a healthy person.
6. Which of the following produces antibodies?
  • A. Red Blood cells
  • B. Phagocytes
  • C. Platelets
  • D. Lymphocytes

7. Which of the following correctly states a feature of a red blood cell and a reason for that feature?

  feature reason
A Thin centre section To hold the nucleus
B No nucleus They do not need to divide
C Lots of mitochondria High rate of respiration
D Biconcave disc shape To have a larger surface area
8. In which of the following blood vessels would you find valves?
  • A. Carotid artery to the head
  • B. Renal artery
  • C. Hepatic vein
  • D. Coronary artery
9. Which of the following is correct about an artery?
  • A. Thin wall of smooth muscle and elastic fibres
  • B. Usually carry deoxygenated blood
  • C. Have valves
  • D. Thick wall of smooth muscle and elastic fibres

10. Capillaries are able to exchange substances with muscle cells because ..

  • A. they are thick walled
  • B. they have a large lumen
  • C. they have permeable walls
  • D. they have valves