Target: 10 questions in 10 minutes |
||||
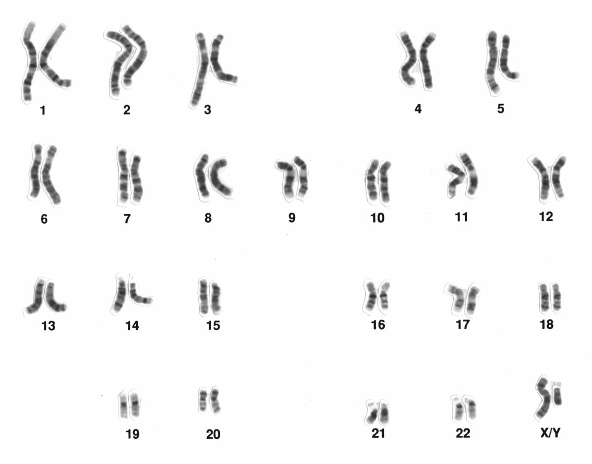
Q1-3. The image shows a human karyogram.
|
||||
1. A karyogram shows homologous chromosomes. Homologous chromosomes are:
|
||||
2. When pairing up chromosomes to make a karyogram which feature(s) is/are used?
|
||||
3. This karyogram comes from which individual?
|
||||
4. According to the Linnaean classification system, what is the defining characteristic of a species?
|
||||
5. What is the key characteristic of the biological species concept?
|
||||
6&7: The image below shows skulls of extinct hominids.
|
Chris Stringer, Natural History Museum, UK CC-BY-SA 4.0 |
|||
6. Which statement applies to the images above?
| ||||
7. What factors contribute to the variation observed among humans?
|
||||
|
||||
8. The image shows an electron microscope image of part of a lung cell.
|
||||
Where would you find the genome of this cell?
| ||||
9. The graph below shows the genome size of different organisms.
|
Abizar at English Wikipedia CC-BY-SA 3.0 |
|||
Which statement is true of the graph?
|
||||
10. There is a hypothesis that an ancestral fusion event between two chromosomes led to the formation of chromosome 2 in humans. Which of the following does not apply?
|
||||
Question 1:
Let's analyze the question about homologous chromosomes:
Homologous chromosomes are pairs of chromosomes that are similar in shape, size, and genetic content. They are inherited one from each parent. Here's a breakdown:
They have the same set of genes (for the same traits) in the same sequence (order along the chromosome).
However, they may have different alleles (variants of the same gene) because one comes from the mother and one from the father.
Now, evaluating the options:
Answer: D. Two chromosomes with the same set of genes, in the same sequence, sometimes with different alleles
*These A.I. responses have been individually checked to ensure they match the accepted answer, but explanations may still be incorrect. Responses may give guidance but the A.I. might not be able to answer the question! This is particularly the case for questions based on diagrams, which the A.I. typically cannot interpret.
Grade Gorilla uses Gemini, Deepseek and a range of other A.I. chatbots to generate the saved responses. Some answers have had human intervention for clarity or where the A.I. has not been able to answer the question.
Question 2:
When creating a karyogram, chromosomes are arranged in pairs based on several key features to ensure accurate identification and pairing of homologous chromosomes. The features used include:
Size of the chromosome: Longer chromosomes are generally placed first, with shorter ones later.
Position of the centromere: This determines the chromosome's shape (metacentric, submetacentric, acrocentric, or telocentric).
Banding patterns: G-banding (Giemsa staining) produces unique patterns of light and dark bands that are characteristic for each chromosome pair.
These features are combined to reliably distinguish between chromosomes and correctly pair homologs.
Now, evaluating the options:
Answer: C. Size of the chromosome, position of the centromere and the banding
*These A.I. responses have been individually checked to ensure they match the accepted answer, but explanations may still be incorrect. Responses may give guidance but the A.I. might not be able to answer the question! This is particularly the case for questions based on diagrams, which the A.I. typically cannot interpret.
Grade Gorilla uses Gemini, Deepseek and a range of other A.I. chatbots to generate the saved responses. Some answers have had human intervention for clarity or where the A.I. has not been able to answer the question.
Question 3:
Let's analyze the question step by step:
Number of chromosomes: The karyogram has 23 pairs of chromosomes, which is the normal diploid number for humans (46 chromosomes total). This indicates that there is no aneuploidy (extra or missing chromosomes) present, which rules out conditions like Down syndrome (trisomy 21, which would result in 47 chromosomes total).
Sex chromosomes: The sex chromosome pair is specified as X/Y. This means one X chromosome and one Y chromosome, which is characteristic of a male individual.
Down syndrome consideration: Down syndrome is caused by trisomy 21 (three copies of chromosome 21). Since the karyogram has 23 pairs (46 chromosomes total), it is euploid (normal chromosome number), so there is no Down syndrome.
Therefore, the karyogram comes from a male without Down syndrome.
Now, evaluating the options:
Answer: C. Male without Down Syndrome
*These A.I. responses have been individually checked to ensure they match the accepted answer, but explanations may still be incorrect. Responses may give guidance but the A.I. might not be able to answer the question! This is particularly the case for questions based on diagrams, which the A.I. typically cannot interpret.
Grade Gorilla uses Gemini, Deepseek and a range of other A.I. chatbots to generate the saved responses. Some answers have had human intervention for clarity or where the A.I. has not been able to answer the question.
Question 4:
The Linnaean classification system, developed by Carl Linnaeus, is a hierarchical system for organizing and naming species. However, the definition of a species itself has evolved beyond Linnaeus's original morphological concept. Linnaeus primarily used physical characteristics (morphology) to classify organisms, but modern biology often uses the biological species concept to define a species.
Let's evaluate the options:
A. Organisms that can interbreed and produce fertile offspring: This is the biological species concept, which is widely accepted in modern biology. However, it is important to note that Linnaeus did not explicitly use this criterion—he relied more on morphology.
B. Organisms that share a similar physical appearance and morphology: This was Linnaeus's original approach. He classified species based on observable physical traits (e.g., shape, size, structure). For example, he grouped plants based on their reproductive organs.
C. Organisms that occupy the same geographic region: This is not a defining characteristic in Linnaean classification. Geographic distribution can influence speciation but is not the primary criterion.
D. Organisms that have the same genetic code: Genetic similarity is a modern tool used to classify organisms (e.g., DNA sequencing), but it was not available in Linnaeus's time.
Historical Context:
Linnaeus introduced binomial nomenclature (e.g., Homo sapiens) and classified species based on morphological similarities. He did not have knowledge of genetics or the concept of reproductive isolation. Therefore, the defining characteristic for a species in the Linnaean system was primarily morphological.
Conclusion:
While option A (interbreeding and fertile offspring) is a modern biological species concept, the question specifically asks "according to the Linnaean classification system." Linnaeus defined species based on physical appearance and morphology.
Answer: B. Organisms that share a similar physical appearance and morphology
*These A.I. responses have been individually checked to ensure they match the accepted answer, but explanations may still be incorrect. Responses may give guidance but the A.I. might not be able to answer the question! This is particularly the case for questions based on diagrams, which the A.I. typically cannot interpret.
Grade Gorilla uses Gemini, Deepseek and a range of other A.I. chatbots to generate the saved responses. Some answers have had human intervention for clarity or where the A.I. has not been able to answer the question.
Question 5:
The biological species concept is one of the most widely recognized definitions of a species in modern biology. It was popularized by evolutionary biologist Ernst Mayr. The key characteristic of this concept is:
C. Ability to interbreed and produce fertile offspring
This means that a species is defined as a group of organisms that can actually or potentially interbreed in nature and produce viable, fertile offspring, but are reproductively isolated from other such groups.
Let's briefly review why the other options are not the key characteristic of the biological species concept:
A. Geographical isolation: While geographic isolation can lead to speciation (allopatric speciation), it is not the defining characteristic of the biological species concept itself.
B. Genetic similarity: Genetic similarity is often correlated with species membership, but it is not the primary criterion; reproductive compatibility is central.
D. Shared ecological niche: Organisms in the same species often share a niche, but this is not the defining feature—focus is on reproduction.
Answer: C. Ability to interbreed and produce fertile offspring
*These A.I. responses have been individually checked to ensure they match the accepted answer, but explanations may still be incorrect. Responses may give guidance but the A.I. might not be able to answer the question! This is particularly the case for questions based on diagrams, which the A.I. typically cannot interpret.
Grade Gorilla uses Gemini, Deepseek and a range of other A.I. chatbots to generate the saved responses. Some answers have had human intervention for clarity or where the A.I. has not been able to answer the question.
Question 6:
Based on the image description: "Comparison of skull features of Homo naledi and other early human species," and the fact that it shows skulls of extinct hominids (which include species from the genus Homo, such as Homo naledi, Homo erectus, Homo habilis, etc.), we can infer the following:
The skulls are from different species within the same genus (Homo). For example, Homo naledi is one species, and the "other early human species" likely refer to other species in the genus Homo (e.g., Homo erectus, Homo habilis).
The image is comparing skull features to highlight differences between these species, indicating they are distinct but related (same genus, different species).
Now, evaluating the options:
A. Specimens belong to the same species: Incorrect, because the image explicitly compares Homo naledi with other species, meaning they are not the same species.
B. Specimens are from the same genus but different species: Correct, as all are likely from the genus Homo but represent different species (e.g., H. naledi, H. erectus, etc.).
C. Specimens are from the same genus and species, but different sub-species: Incorrect, because the title specifies "other early human species" (plural), implying different species, not sub-species.
D. Specimens belong to the same species but different genera: Incorrect, as genera (plural of genus) would imply different genera (e.g., Homo vs. Australopithecus), but the title focuses on "early human species," which typically refers to the genus Homo. Also, Homo naledi is in the genus Homo, and the others are likely in the same genus.
Conclusion: The specimens are from the same genus (Homo) but different species.
Answer: B. Specimens are from the same genus but different species
*These A.I. responses have been individually checked to ensure they match the accepted answer, but explanations may still be incorrect. Responses may give guidance but the A.I. might not be able to answer the question! This is particularly the case for questions based on diagrams, which the A.I. typically cannot interpret.
Grade Gorilla uses Gemini, Deepseek and a range of other A.I. chatbots to generate the saved responses. Some answers have had human intervention for clarity or where the A.I. has not been able to answer the question.
Question 7:
The variation observed among humans is influenced by multiple factors. Let's evaluate each option:
I. Mutations: Mutations are changes in the DNA sequence and are a primary source of genetic variation. They can occur spontaneously or be induced by environmental factors and contribute to diversity in traits.
II. Single nucleotide polymorphisms (SNPs): SNPs are a type of mutation involving a single nucleotide change at a specific position in the genome. They are the most common form of genetic variation in humans and contribute to differences in susceptibility to diseases, physical appearance, and other traits.
III. Environmental factors: Environmental influences (such as diet, climate, exposure to toxins, lifestyle, and culture) can cause variation in traits among individuals. For example, height and skin color are affected by both genetic and environmental factors.
All three factors (mutations, SNPs, and environmental factors) contribute to human variation. Mutations and SNPs provide genetic diversity, while environmental factors can alter how genes are expressed (e.g., through epigenetics) and directly impact phenotypes.
Therefore, the correct answer is D. I, II, and III.
Answer: D. I, II, and III
*These A.I. responses have been individually checked to ensure they match the accepted answer, but explanations may still be incorrect. Responses may give guidance but the A.I. might not be able to answer the question! This is particularly the case for questions based on diagrams, which the A.I. typically cannot interpret.
Grade Gorilla uses Gemini, Deepseek and a range of other A.I. chatbots to generate the saved responses. Some answers have had human intervention for clarity or where the A.I. has not been able to answer the question.
Question 8:
In a eukaryotic cell like this lung cell, the genetic material (the genome) is found in two places:
The Nucleus. The majority of the cell's genome is located in the nucleus, which contains the cell's chromosomes. This is the main control center for the cell's activities.
The Mitochondria. Mitochondria are unique because they have their own small, circular DNA, separate from the DNA in the nucleus. This is a remnant of their evolutionary history as free-living bacteria that were engulfed by a larger cell.
The cytoplasm is the jelly-like substance surrounding the organelles and does not contain the cell's main genome.
I can't see the labels on the image so I am unsure which answer is correct.
*These A.I. responses have been individually checked to ensure they match the accepted answer, but explanations may still be incorrect. Responses may give guidance but the A.I. might not be able to answer the question! This is particularly the case for questions based on diagrams, which the A.I. typically cannot interpret.
Grade Gorilla uses Gemini, Deepseek and a range of other A.I. chatbots to generate the saved responses. Some answers have had human intervention for clarity or where the A.I. has not been able to answer the question.
Question 9:
To determine which statement is true about the graph showing genome size of different organisms, let's analyze the options based on typical representations of such data:
A. The x-axis shows the number of genes in the genome:
Graphs comparing genome size typically plot the number of base pairs (e.g., in kilobases or megabases) on the x-axis, not the number of genes. While the number of genes might be related, it is not the standard metric for genome size. This is likely incorrect.
B. There is a correlation between complexity of the organism and genome size:
This is a common misconception. In reality, there is no clear correlation between an organism's complexity and its genome size. For example, some amphibians and plants have much larger genomes than humans (e.g., the marbled lungfish has ~130 billion base pairs, while humans have ~3 billion). This phenomenon is known as the "C-value paradox." Thus, this statement is false.
C. There is a significant difference in genome size between prokaryotes and eukaryotes:
This is true. Prokaryotes (e.g., bacteria) generally have smaller genomes, typically ranging from about 0.5 to 10 megabases (million base pairs). Eukaryotes (e.g., fungi, plants, animals) have larger genomes, often ranging from ~10 megabases to over 100 gigabases (billion base pairs). The graph likely shows this distinct gap.
D. The x-axis shows the number of base pairs in the genome:
This is the standard way to represent genome size. The x-axis is almost certainly labeled with units like "base pairs" (bp), "kilobases" (kb), or "megabases" (Mb). This is true.
However, note that the question asks for which statement is true, and both C and D seem plausible. But let's consider the context:
The graph is described as showing "genome size," which is universally measured in base pairs (so D is true).
Option C is also true and is a key point in biology: prokaryotes have smaller genomes than eukaryotes due to differences in organization (e.g., eukaryotes have non-coding DNA, introns, and repetitive elements).
But since the question might expect one answer, and D is directly about the axis (which is almost certainly correct), while C is a interpretation of the data. However, both are true.
But looking back at the options, the question might be designed to highlight that genome size is measured in base pairs (D) and that prokaryotes vs. eukaryotes differ (C). However, since it's multiple choice with single answer, we need to see which is most accurate.
Wait: the image description says "electron microscope image of part of a lung cell", but the question says "the graph below shows the genome size". So there might be a graph not shown here.
Given typical such graphs:
The x-axis is indeed genome size in base pairs.
Prokaryotes have smaller genomes than eukaryotes.
But option B is false, and A is false.
So both C and D are true. However, since the question says "which statement is true", and it might be that only one is correct, but actually D is directly about the graph axis, while C is a conclusion.
But in many such graphs, the x-axis is labeled with base pairs.
Moreover, the answer choices are mutually exclusive? No, they are not necessarily, but the question might expect D.
But let's see the options: A, B, C, D are listed, and we need to choose one.
Actually, option C is unambiguously true: there is a significant difference in genome size between prokaryotes and eukaryotes.
Option D is also true: the x-axis shows number of base pairs.
However, perhaps the question has a graph where the x-axis is indeed base pairs, and C is also true.
But since the question is from a test, it might be that D is the most direct.
Wait, the user said "the graph below", but we don't have the graph. So we must rely on general knowledge.
Typically, in genome size graphs:
The x-axis is genome size in base pairs.
Prokaryotes are on the left (smaller), eukaryotes on the right (larger).
So both C and D are true. But perhaps the question has only one correct.
Option B is false, A is false.
So between C and D, which is more specific?
Perhaps the graph has the x-axis labeled, so D is true.
But C is also true.
However, note that the image description says "electron microscope image of a lung cell", which is eukaryotic, and might be compared to prokaryotes.
But to be safe, since the graph is about genome size, the x-axis must be base pairs.
Moreover, option A is wrong because it says "number of genes", which is not genome size.
So D is true.
And C is also true.
But in multiple choice, sometimes they have only one answer.
Perhaps the question is designed to have D as correct, because it directly describes the axis.
Another way: option C says "significant difference", which is true, but some eukaryotes (e.g., some parasites) have very small genomes, close to prokaryotes. But generally, it is true.
However, option D is definitely true.
Given that, and since the question says "which statement is true", and all except A and B are true, but we must choose one.
Wait, the answer choices are A, B, C, D, so only one is correct.
Perhaps in this context, D is correct because the x-axis is base pairs.
And C might not be shown in the graph? But it is generally true.
But to be precise, for the graph, the x-axis shows base pairs.
So I think D is the intended answer.
*These A.I. responses have been individually checked to ensure they match the accepted answer, but explanations may still be incorrect. Responses may give guidance but the A.I. might not be able to answer the question! This is particularly the case for questions based on diagrams, which the A.I. typically cannot interpret.
Grade Gorilla uses Gemini, Deepseek and a range of other A.I. chatbots to generate the saved responses. Some answers have had human intervention for clarity or where the A.I. has not been able to answer the question.
Question 10:
To determine which statement does not apply to the hypothesis that an ancestral fusion event formed human chromosome 2, let's evaluate each option:
A. Similarities in the banding patterns between chimpanzee chromosomes 2A and 2B and human chromosome 2 support this hypothesis.
This is true. Chimpanzees (and other great apes) have 24 pairs of chromosomes, with two separate chromosomes (2A and 2B) that correspond to the fused human chromosome 2. Banding patterns and genetic sequences align closely, supporting the fusion event.
B. Finding remnants of two centromeres on chromosome 2 supports this hypothesis.
This is true. Human chromosome 2 has one functional centromere and a vestigial centromere (inactivated remnants) at the expected location where fusion occurred, which aligns with the fusion hypothesis.
C. All other known members of the Hominidae family having 24 pairs of chromosomes supports this hypothesis.
This is true. Great apes (e.g., chimpanzees, gorillas, orangutans) have 24 pairs of chromosomes, while humans have 23 pairs. This discrepancy is explained by the fusion of two ancestral chromosomes into human chromosome 2.
D. Direct observation of the fusion event is required to validate this hypothesis.
This does not apply. The fusion event occurred millions of years ago, so direct observation is impossible. Instead, the hypothesis is validated through multiple lines of indirect evidence (e.g., genetic sequencing, banding patterns, vestigial centromeres and telomeres). Science often relies on cumulative evidence rather than direct observation for historical events.
Thus, option D is the statement that does not apply, as direct observation is not required (or feasible) to validate the hypothesis.
*These A.I. responses have been individually checked to ensure they match the accepted answer, but explanations may still be incorrect. Responses may give guidance but the A.I. might not be able to answer the question! This is particularly the case for questions based on diagrams, which the A.I. typically cannot interpret.
Grade Gorilla uses Gemini, Deepseek and a range of other A.I. chatbots to generate the saved responses. Some answers have had human intervention for clarity or where the A.I. has not been able to answer the question.